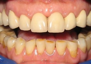
डेंटल प्लाक से छुटकारा पाने के 10 नेचुरल नुस्ख़े

खाने के बाद यह सिफारिश की जाती है कि आप अपने दाँतों पर ब्रश करें। क्योंकि एक रंगहीन, चिपचिपा पदार्थ जो आखिरकार सफेद रंग का हो जाता है, जिसे प्लाक कहते हैं, हमारी दांतों पर जमना शुरू हो जाता है, भले ही हम इसका एहसास न करें।
अगर डेंटल प्लाक को नियमित न हटाया जाए तो यह सख्त होकर खतरनाक टार्टर में बदल जाता है।
सौभाग्य से घर पर प्राकृतिक रूप से डेंटल प्लाक से छुटकारा पाना संभव है। समस्या बनने से पहले ही इसे रोकना महत्वपूर्ण है। आज हम देखेंगे कि कैसे।
अच्छी साफ़-सफ़ाई और डेंटल हाइजीन की अहमियत

जब हम मुंह के स्वास्थ्य से जुड़ी समस्याओं से बचने की बात करते हैं, तो बेशक उन्हें साफ रखना सबसे महत्वपूर्ण है।
साफ मुंह में बैक्टीरिया लंबे समय तक जीवित नहीं रह सकता। सही तरीके से साफ किये जाने वाले दांत में संक्रमण और ओरल बैक्टीरिया के फैलने की संभावना कम होती है।
डेंटल प्लाक से छुटकारा पाने के नेचुरल नुस्ख़े
ऐसे कई उपयोगी तरीके हैं जो आपके घर से बाहर निकले बिना भी प्राकृतिक रूप से डेंटल प्लाक से छुटकारा पाने में मदद करते हैं।
1. माउंटेन वर्मवुड अर्क (Mountain wormwood infusion)
हेल्थ फ़ूड स्टोर में आप माउंटेन वर्मवुड पा सकते हैं। इस पौधे का आपके मुंह के लिए कई फायदे हैं, क्योंकि इसमें एंटीसेप्टिक गुण हैं।
- एक मग पानी में एक बड़ा चम्मच माउंटेन वर्मवुड डालकर अर्क तैयार करें।
- अपने दांतों को ब्रश करने के लिए या मुंह में बार-बार कुल्ला करने के लिए इसका उपयोग करें।
यह भी देखें: डेंटल प्लाक हटाने के लिए 6 आसान घरेलू नुस्ख़े
2. एप्पल साइडर विनेगर

जब आप ओरल हाइजीन की बात करते हैं तो एप्पल साइडर विनेगर आपका दोस्त बन सकता है, क्योंकि यह उन बैक्टीरिया को खत्म कर देता है जो डेंटल प्लाक का कारण बनते हैं।
- अपने मुंह में सीधे विनेगर से कुल्ला कर सकते हैं, (फिर पानी से कुल्ला करना याद रखना)।
- माउथवॉश’ बनाने के लिए पानी के साथ समान भागों में सिरका भी मिला सकते हैं जिसका उपयोग सुबह और सोने से पहले किया जा सकता है।
3. अखरोट खोल अर्क (Walnut shell infusion)
अपने टूथब्रश को इसमें डुबोकर इस वालनट शेल इन्फ्यूजन से दाँत ब्रश कर सकते हैं। कम से कम 3 मिनट तक दांतों पर धीरे-धीरे ब्रश करने का लक्ष्य रखें।
- एक पैन में पानी के साथ वालनट शेल को गरम करें।
- उबलना शुरू होने पर इसे 5 मिनट के लिए छोड़ दें।
- इसका उपयोग करने से पहले 15 मिनट के लिए छोड़ दें।
4. डेंटल प्लाक से छुटकारा पाने के लिए सूरजमुखी के बीज
डेंटल प्लाक पर काबू पाने के लिए एक मग पानी में मुट्ठी भर सूरजमुखी के बीजों को एक मुट्ठी लाइम ब्लॉसम के साथ उबालें।
- जब यह उबलने लगे तो 3 मिनट इंतज़ार करें, फिर इसे आँच से उतार दें और छोड़ दें।
- इसे माउथवॉश के रूप में या ब्रश करते समय जितनी बार चाहें उपयोग कर सकते हैं।
5. अखरोट की छाल (Walnut bark)
अखरोट की छाल का दांतों के लिए दो असाधारण इस्तेमाल है: यह एक नेचुरल वाइटनर है और इसमें एंटीबैक्टीरियल गुण हैं।
अन्य उपायों के साथ अर्क तैयार करें और इसे कमर्शियल माउथवॉश के ऑप्शन के रूप में नियमित रूप से उपयोग करें।
6. बेकिंग सोडा

इसके प्रभावी एंटीसेप्टिक गुणों के कारण इसकी सिफारिश करते है।
सामग्री
- 1 गिलास गर्म पानी (200 मिली)
- 3 चम्मच बेकिंग सोडा (15 ग्राम)
- एक नींबू का रस
- ½ चम्मच नमक (5 ग्राम)
तरीका
सामग्री को अच्छी तरह से मिलाएं और ब्रश करने के बाद हर दिन 1 मिनट के लिए स्वाइप करें और फिर कुल्ला करें।
7. संतरे का छिलका
दांतों को ब्रश करने से पहले उन पर संतरे का छिलका रगड़ें।
- संतरे का छिलका विटामिन C का भरपूर स्रोत है, जो स्वाभाविक रूप से डेंटल प्लाक को खत्म करने और रोकने में मदद करता है।
- यह एक नेचुरल टूथ व्हाइटनर के रूप में भी काम करता है।
8. हाइड्रोजन पेरॉक्साइड से डेंटल प्लाक से छुटकारा पायें
हाइड्रोजन पेरॉक्साइड ओरल एंटीसेप्टिक का सबसे अच्छा उदाहरण है, लेकिन आपको सिर्फ डेंटिस्ट की देखरेख में ही इसका उपयोग करना चाहिए।
- रोजाना कुल्ला करने से डेंटल प्लाक को रोकने में आसानी होती है और यह ख़त्म हो जाता है।
9. नारियल तेल और बेकिंग पाउडर टूथपेस्ट

प्राकृतिक रूप से डेंटल प्लाक से छुटकारा पाने के लिए अपना टूथपेस्ट बनाएं।
- आपको बस इतना करना है कि बेकिंग पाउडर और नारियल तेल को बराबर मात्रा में मिलाएं।
- फिर अपने टूथपेस्ट पर इसे थोड़ी मात्रा में डाले और दांतों को हमेशा की तरह साफ करें।
- आप इसे इकट्ठे कुछ दिनों के लिए बना सकते हैं और इसे कांच के कंटेनर में रखकर सील कर सकते हैं।
10. तिल (Sesame seeds)
रोजाना अपने दांतों की सफाई में इनका इस्तेमाल कर सकते हैं।
- उन्हें अपने दांतों पर रगड़ें और फिर किसी भी प्लाक से छुटकारा पाने के लिए डेंटल फ्लॉस का उपयोग करें।
- आखिरकार अपने पसंदीदा टूथपेस्ट से हमेशा की तरह ब्रश करें।
प्राकृतिक रूप से डेंटल प्लाक से छुटकारा पाने के स्टेप
प्राकृतिक रूप से डेंटल प्लाक से छुटकारा पाने के लिए दो महत्वपूर्ण स्टेप हैं:
1. सही ढंग से ब्रश करना
ब्रश करने में लगने वाला समय अहम होता है; आपको इसमें पर्याप्त वक्त देना चाहिए।
- नरम, गोल ब्रश चुनें जो आपके मसूड़ों को नुकसान न पहुंचाए।
- आपके टूथपेस्ट में फ्लोराइड होना चाहिए। अच्छी क्वालिटी के माउथवॉश का इस्तेमाल करना चाहिए और रूटीन को फ्लॉस करते हुए पूरा करना चाहिए।
- इसे दिन में कम से कम दो बार करना चाहिए।
हम आपको पढ़ने की सलाह देते हैं: जानिये क्यों बहते हैं मसूड़ों से खून
2. बार-बार कुल्ला करें
हर बार जब भी आप खाना खत्म करते हैं, मुंह में कुल्ला करना न भूलें। आपको हर बार दांतों को ठीक से ब्रश करने की ज़रूरत नहीं है, लेकिन यह ज़रूरी है कि खाने के बाद बचा हुआ कोई अवशेष दांतों के बीच लंबे समय तक न रहे।
चाहे तो सिर्फ पानी से कुल्ला कर सकते हैं, एंटी-प्लाक माउथवॉश का इस्हैतेमाल कर सकते हैं।
जैसा कि आप देख सकते हैं, प्राकृतिक रूप से डेंटल प्लाक से छुटकारा पाना संभव है।
हालांकि, यह याद रखना ज़रूरी है कि प्लाक को दूर रखने के लिए रोकथाम भी अहम है। इसलिए आपको अपने डेंटिस्ट से रेगुलर मिलते रहना (हर तीन महीने पर) चाहिए।
खाने के बाद यह सिफारिश की जाती है कि आप अपने दाँतों पर ब्रश करें। क्योंकि एक रंगहीन, चिपचिपा पदार्थ जो आखिरकार सफेद रंग का हो जाता है, जिसे प्लाक कहते हैं, हमारी दांतों पर जमना शुरू हो जाता है, भले ही हम इसका एहसास न करें।
अगर डेंटल प्लाक को नियमित न हटाया जाए तो यह सख्त होकर खतरनाक टार्टर में बदल जाता है।
सौभाग्य से घर पर प्राकृतिक रूप से डेंटल प्लाक से छुटकारा पाना संभव है। समस्या बनने से पहले ही इसे रोकना महत्वपूर्ण है। आज हम देखेंगे कि कैसे।
अच्छी साफ़-सफ़ाई और डेंटल हाइजीन की अहमियत

जब हम मुंह के स्वास्थ्य से जुड़ी समस्याओं से बचने की बात करते हैं, तो बेशक उन्हें साफ रखना सबसे महत्वपूर्ण है।
साफ मुंह में बैक्टीरिया लंबे समय तक जीवित नहीं रह सकता। सही तरीके से साफ किये जाने वाले दांत में संक्रमण और ओरल बैक्टीरिया के फैलने की संभावना कम होती है।
डेंटल प्लाक से छुटकारा पाने के नेचुरल नुस्ख़े
ऐसे कई उपयोगी तरीके हैं जो आपके घर से बाहर निकले बिना भी प्राकृतिक रूप से डेंटल प्लाक से छुटकारा पाने में मदद करते हैं।
1. माउंटेन वर्मवुड अर्क (Mountain wormwood infusion)
हेल्थ फ़ूड स्टोर में आप माउंटेन वर्मवुड पा सकते हैं। इस पौधे का आपके मुंह के लिए कई फायदे हैं, क्योंकि इसमें एंटीसेप्टिक गुण हैं।
- एक मग पानी में एक बड़ा चम्मच माउंटेन वर्मवुड डालकर अर्क तैयार करें।
- अपने दांतों को ब्रश करने के लिए या मुंह में बार-बार कुल्ला करने के लिए इसका उपयोग करें।
यह भी देखें: डेंटल प्लाक हटाने के लिए 6 आसान घरेलू नुस्ख़े
2. एप्पल साइडर विनेगर

जब आप ओरल हाइजीन की बात करते हैं तो एप्पल साइडर विनेगर आपका दोस्त बन सकता है, क्योंकि यह उन बैक्टीरिया को खत्म कर देता है जो डेंटल प्लाक का कारण बनते हैं।
- अपने मुंह में सीधे विनेगर से कुल्ला कर सकते हैं, (फिर पानी से कुल्ला करना याद रखना)।
- माउथवॉश’ बनाने के लिए पानी के साथ समान भागों में सिरका भी मिला सकते हैं जिसका उपयोग सुबह और सोने से पहले किया जा सकता है।
3. अखरोट खोल अर्क (Walnut shell infusion)
अपने टूथब्रश को इसमें डुबोकर इस वालनट शेल इन्फ्यूजन से दाँत ब्रश कर सकते हैं। कम से कम 3 मिनट तक दांतों पर धीरे-धीरे ब्रश करने का लक्ष्य रखें।
- एक पैन में पानी के साथ वालनट शेल को गरम करें।
- उबलना शुरू होने पर इसे 5 मिनट के लिए छोड़ दें।
- इसका उपयोग करने से पहले 15 मिनट के लिए छोड़ दें।
4. डेंटल प्लाक से छुटकारा पाने के लिए सूरजमुखी के बीज
डेंटल प्लाक पर काबू पाने के लिए एक मग पानी में मुट्ठी भर सूरजमुखी के बीजों को एक मुट्ठी लाइम ब्लॉसम के साथ उबालें।
- जब यह उबलने लगे तो 3 मिनट इंतज़ार करें, फिर इसे आँच से उतार दें और छोड़ दें।
- इसे माउथवॉश के रूप में या ब्रश करते समय जितनी बार चाहें उपयोग कर सकते हैं।
5. अखरोट की छाल (Walnut bark)
अखरोट की छाल का दांतों के लिए दो असाधारण इस्तेमाल है: यह एक नेचुरल वाइटनर है और इसमें एंटीबैक्टीरियल गुण हैं।
अन्य उपायों के साथ अर्क तैयार करें और इसे कमर्शियल माउथवॉश के ऑप्शन के रूप में नियमित रूप से उपयोग करें।
6. बेकिंग सोडा

इसके प्रभावी एंटीसेप्टिक गुणों के कारण इसकी सिफारिश करते है।
सामग्री
- 1 गिलास गर्म पानी (200 मिली)
- 3 चम्मच बेकिंग सोडा (15 ग्राम)
- एक नींबू का रस
- ½ चम्मच नमक (5 ग्राम)
तरीका
सामग्री को अच्छी तरह से मिलाएं और ब्रश करने के बाद हर दिन 1 मिनट के लिए स्वाइप करें और फिर कुल्ला करें।
7. संतरे का छिलका
दांतों को ब्रश करने से पहले उन पर संतरे का छिलका रगड़ें।
- संतरे का छिलका विटामिन C का भरपूर स्रोत है, जो स्वाभाविक रूप से डेंटल प्लाक को खत्म करने और रोकने में मदद करता है।
- यह एक नेचुरल टूथ व्हाइटनर के रूप में भी काम करता है।
8. हाइड्रोजन पेरॉक्साइड से डेंटल प्लाक से छुटकारा पायें
हाइड्रोजन पेरॉक्साइड ओरल एंटीसेप्टिक का सबसे अच्छा उदाहरण है, लेकिन आपको सिर्फ डेंटिस्ट की देखरेख में ही इसका उपयोग करना चाहिए।
- रोजाना कुल्ला करने से डेंटल प्लाक को रोकने में आसानी होती है और यह ख़त्म हो जाता है।
9. नारियल तेल और बेकिंग पाउडर टूथपेस्ट

प्राकृतिक रूप से डेंटल प्लाक से छुटकारा पाने के लिए अपना टूथपेस्ट बनाएं।
- आपको बस इतना करना है कि बेकिंग पाउडर और नारियल तेल को बराबर मात्रा में मिलाएं।
- फिर अपने टूथपेस्ट पर इसे थोड़ी मात्रा में डाले और दांतों को हमेशा की तरह साफ करें।
- आप इसे इकट्ठे कुछ दिनों के लिए बना सकते हैं और इसे कांच के कंटेनर में रखकर सील कर सकते हैं।
10. तिल (Sesame seeds)
रोजाना अपने दांतों की सफाई में इनका इस्तेमाल कर सकते हैं।
- उन्हें अपने दांतों पर रगड़ें और फिर किसी भी प्लाक से छुटकारा पाने के लिए डेंटल फ्लॉस का उपयोग करें।
- आखिरकार अपने पसंदीदा टूथपेस्ट से हमेशा की तरह ब्रश करें।
प्राकृतिक रूप से डेंटल प्लाक से छुटकारा पाने के स्टेप
प्राकृतिक रूप से डेंटल प्लाक से छुटकारा पाने के लिए दो महत्वपूर्ण स्टेप हैं:
1. सही ढंग से ब्रश करना
ब्रश करने में लगने वाला समय अहम होता है; आपको इसमें पर्याप्त वक्त देना चाहिए।
- नरम, गोल ब्रश चुनें जो आपके मसूड़ों को नुकसान न पहुंचाए।
- आपके टूथपेस्ट में फ्लोराइड होना चाहिए। अच्छी क्वालिटी के माउथवॉश का इस्तेमाल करना चाहिए और रूटीन को फ्लॉस करते हुए पूरा करना चाहिए।
- इसे दिन में कम से कम दो बार करना चाहिए।
हम आपको पढ़ने की सलाह देते हैं: जानिये क्यों बहते हैं मसूड़ों से खून
2. बार-बार कुल्ला करें
हर बार जब भी आप खाना खत्म करते हैं, मुंह में कुल्ला करना न भूलें। आपको हर बार दांतों को ठीक से ब्रश करने की ज़रूरत नहीं है, लेकिन यह ज़रूरी है कि खाने के बाद बचा हुआ कोई अवशेष दांतों के बीच लंबे समय तक न रहे।
चाहे तो सिर्फ पानी से कुल्ला कर सकते हैं, एंटी-प्लाक माउथवॉश का इस्हैतेमाल कर सकते हैं।
जैसा कि आप देख सकते हैं, प्राकृतिक रूप से डेंटल प्लाक से छुटकारा पाना संभव है।
हालांकि, यह याद रखना ज़रूरी है कि प्लाक को दूर रखने के लिए रोकथाम भी अहम है। इसलिए आपको अपने डेंटिस्ट से रेगुलर मिलते रहना (हर तीन महीने पर) चाहिए।
- Serrano, J., & Herrera, D. (2005). La placa dental como biofilm: ¿Cómo eliminarla? Rcoe, 10(4), 431–439. https://doi.org/10.4321/S1138-123X2005000400005
- Gil, Aguilar, Cañamas, & Ibañez, Y. (2005). Sistemática de la higiene bucodental: el cepillado dental manual. Periodoncia Y Osteointegración, 15(1), 43–58. https://doi.org/10.1016/J.MATLET.2016.02.139
- Moromi, h, Martinez, E., & Ramos, D. (2009). Anti bacterianos naturales orales : Estudios en la Facultad de Odontología de la Universidad Nacional Mayor de San Marcos. Revistas de Investigación UNMSM, 12(1), 1–4. https://doi.org/10.15381/os.v12i1.2910
यह पाठ केवल सूचनात्मक उद्देश्यों के लिए प्रदान किया जाता है और किसी पेशेवर के साथ परामर्श की जगह नहीं लेता है। संदेह होने पर, अपने विशेषज्ञ से परामर्श करें।







